SDSC Intro to Visualization on Gordon

Antz Visualizations

Hyperglyph Visualizations

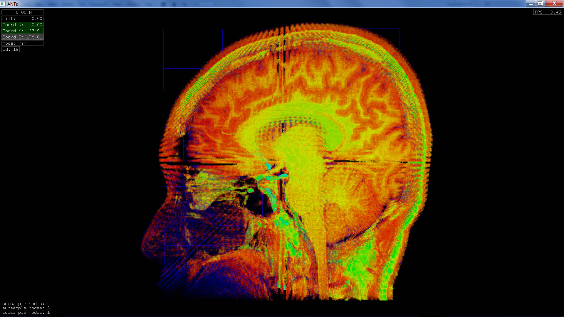
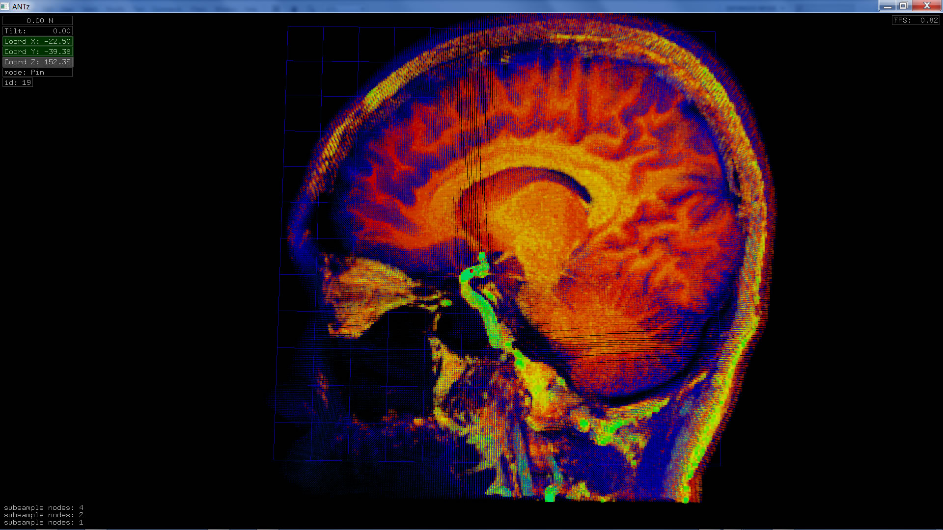
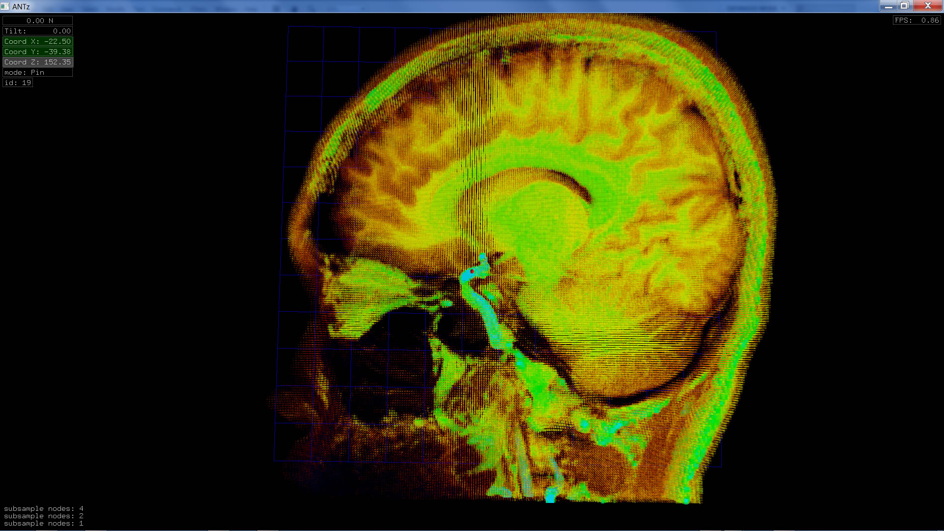
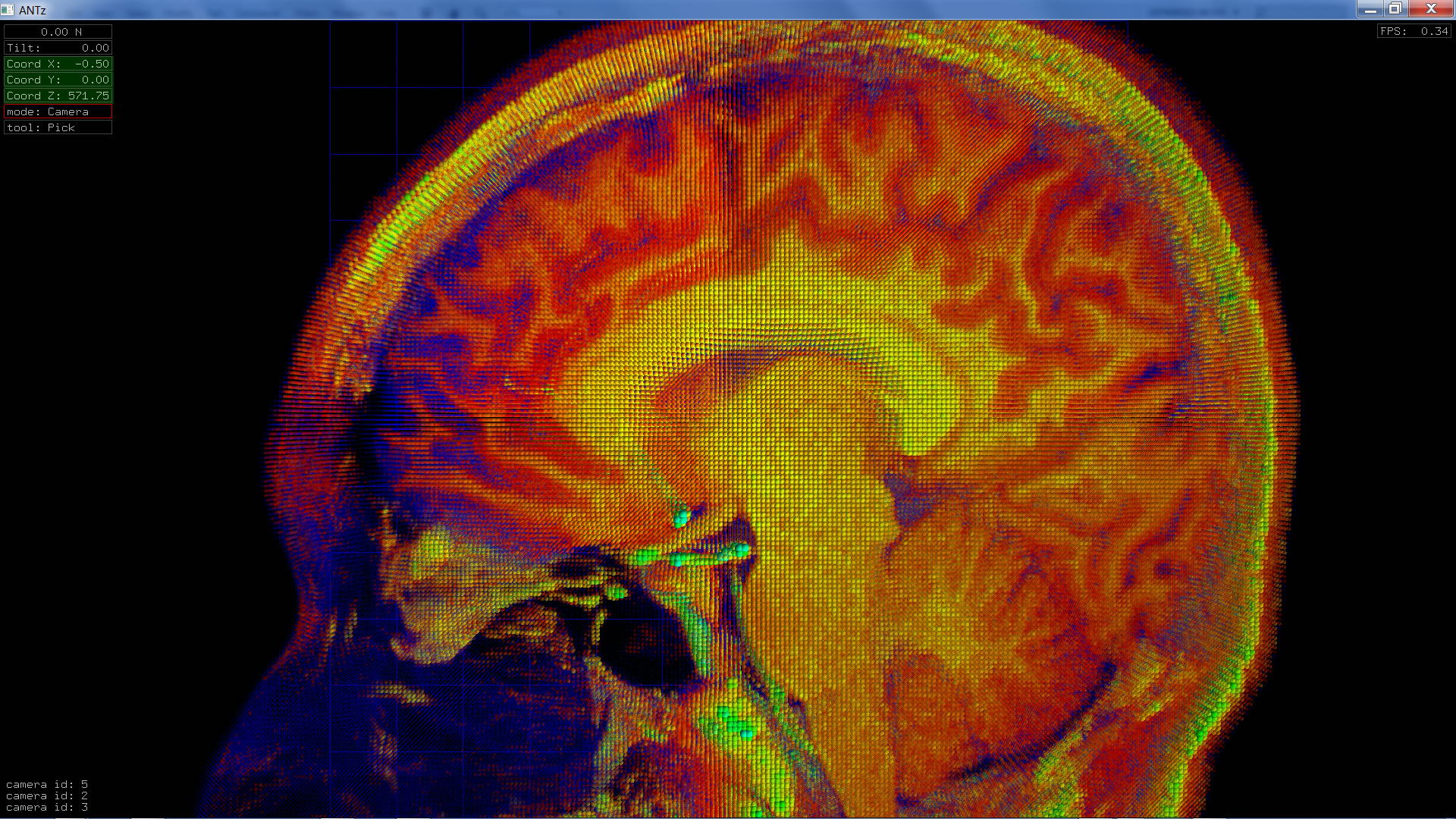
High-resolution fMRI dataset (256x256x176)

Only 30 of 176 slices shown in pics below)

     

     

     

     

     

   

Download 5-slice dataset (9.4 Mb zip)

Download 30-slice dataset (60 Mb zip)

Visualization of fMRI During Mental Calculations

Low-resolution fMRI dataset (64x64x36)

     

View a short video

Downloads

Click to download sample low-resolution data

To run files, download and extract zip, run antz.exe, hit the "1" key to load the data with labels. NOTE: the antz.exe executable is Windows. Download the appropriate version for your OS.